手機掃碼訪問本站
微信咨詢
|
Background: |
At the nuclear envelope, the nuclear lamina and heterochromatin are adjacent to the inner nuclear membrane. The protein encoded by this gene binds DNA and is a component of heterochromatin. This protein also can bind lamin B receptor, an integral membrane protein found in the inner nuclear membrane. The dual binding functions of the encoded protein may explain the association of heterochromatin with the inner nuclear membrane. This protein binds histone H3 tails methylated at Lys-9 sites. This protein is also recruited to sites of ultraviolet-induced DNA damage and double-strand breaks. Two transcript variants encoding the same protein but differing in the 5' UTR, have been found for this gene. |
|
Applications: |
WB, IHC |
|
Name of antibody: |
CBX3 |
|
Immunogen: |
Fusion protein of human CBX3 |
|
Full name: |
chromobox 3 |
|
Synonyms: |
HECH; HP1-GAMMA; HP1Hs-gamma |
|
SwissProt: |
Q13185 |
|
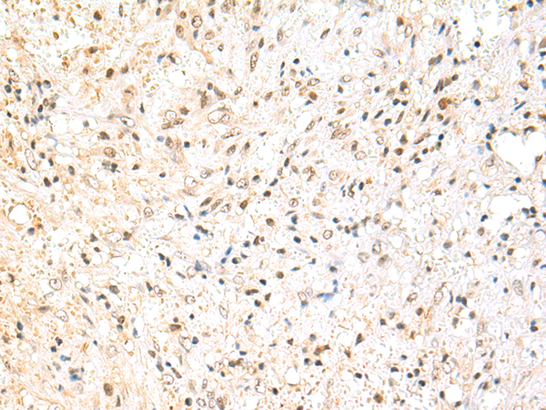
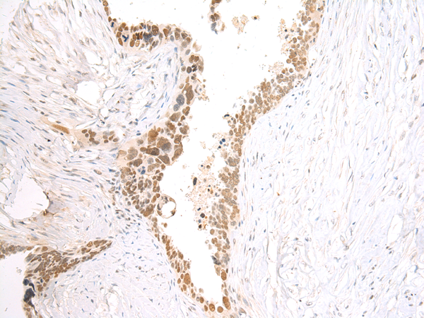
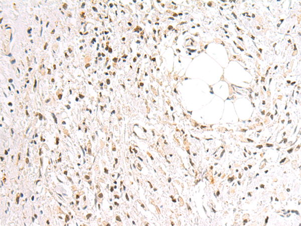
IHC positive control: |
Human colorectal cancer and Human gastric cancer; Human prostate cancer |
|
IHC Recommend dilution: |
100-500 |
|
WB Predicted band size: |
21 kDa |
|
WB Positive control: |
K562, LNCAP, A549, LOVO, Hela and 231 cell lysates |
|
WB Recommended dilution: |
1000-5000 |

