手機掃碼訪問本站
微信咨詢
技術規格
|
Background: |
This gene encodes a member of the WD-40 protein family. The protein is proposed to function as a molecular scaffold for various multimeric protein complexes. The protein associates with several components of the extracellular signal-regulated kinase (ERK) pathway, and promotes ERK activity in response to serum or other signals. The protein also interacts with egl nine homolog 3 (EGLN3, also known as PHD3) and regulates expression of hypoxia-inducible factor 1, and has been purified as part of the spliceosome. Alternative splicing results in multiple transcript variants. |
|
Applications: |
ELISA, WB, IHC |
|
Name of antibody: |
WDR83 |
|
Immunogen: |
Fusion protein of human WDR83 |
|
Full name: |
WD repeat domain 83 |
|
Synonyms: |
MORG1 |
|
SwissProt: |
Q9BRX9 |
|
ELISA Recommended dilution: |
2000-5000 |
|
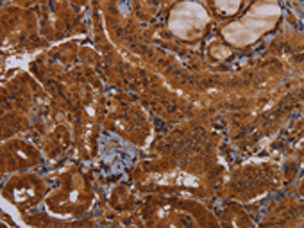
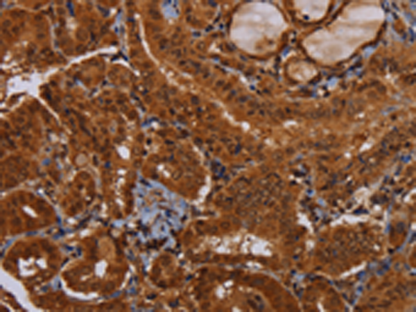
IHC positive control: |
Human thyroid cancer and human colon cancer |
|
IHC Recommend dilution: |
50-200 |
|
WB Predicted band size: |
34 kDa |
|
WB Positive control: |
231 and A172 cells |
|
WB Recommended dilution: |
200-1000 |

