手機掃碼訪問本站
微信咨詢
|
Background: |
This gene encodes a member of the WD repeat protein family. WD repeats are minimally conserved regions of approximately 40 amino acids typically bracketed by gly-his and trp-asp (GH-WD), which may facilitate formation of heterotrimeric or multiprotein complexes. Members of this family are involved in a variety of cellular processes, including cell cycle progression, signal transduction, apoptosis, and gene regulation. This protein contains 7 WD repeats. |
|
Applications: |
ELISA, WB, IHC |
|
Name of antibody: |
WDR5 |
|
Immunogen: |
Fusion protein of human WDR5 |
|
Full name: |
WD repeat domain 5 |
|
Synonyms: |
SWD3; BIG-3; CFAP89 |
|
SwissProt: |
P61964 |
|
ELISA Recommended dilution: |
2000-5000 |
|
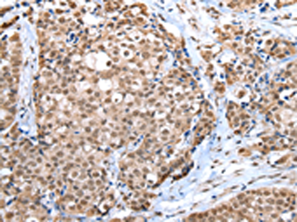
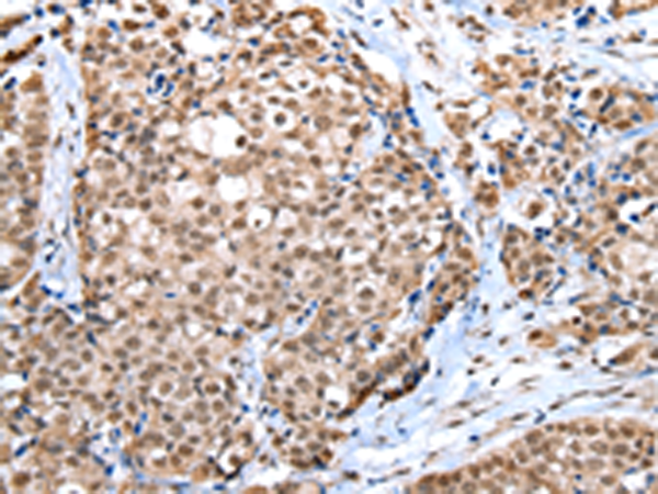
IHC positive control: |
Human breast cancer and Human esophagus cancer |
|
IHC Recommend dilution: |
25-100 |
|
WB Predicted band size: |
37 kDa |
|
WB Positive control: |
A375, 231 and PC3 cell, human lung cancer tissue, hela and NIH/3T3 cell |
|
WB Recommended dilution: |
500-2000 |
