手機掃碼訪問本站
微信咨詢
|
Background: |
This gene encodes a member of the WD repeat protein family. WD repeats are minimally conserved regions of approximately 40 amino acids typically bracketed by gly-his and trp-asp (GH-WD), which may facilitate formation of heterotrimeric or multiprotein complexes. Members of this family are involved in a variety of cellular processes, including cell cycle progression, signal transduction, apoptosis, and gene regulation. This gene is excluded as a candidate for a form of nonsyndromic deafness (DFNB10), but is still a candidate for other disorders mapped to 21q22.3 as well as for the development of Down syndrome phenotypes. Alternatively spliced transcript variants have been found for this gene. |
|
Applications: |
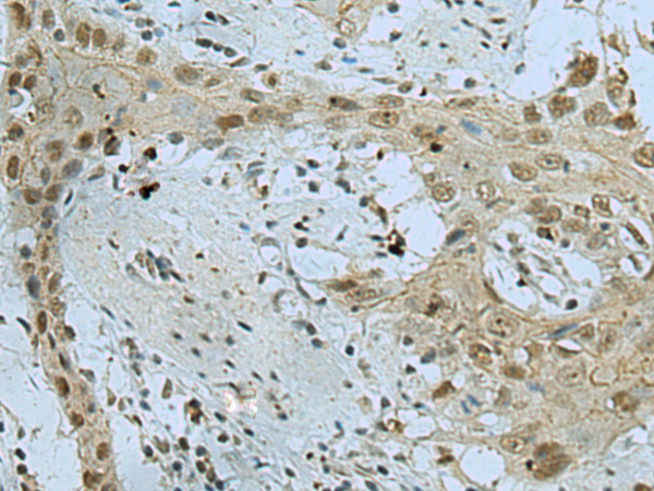
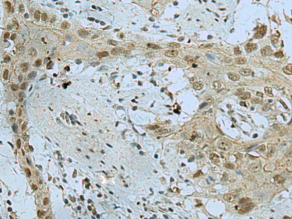
ELISA, WB, IHC |
|
Name of antibody: |
WDR4 |
|
Immunogen: |
Fusion protein of human WDR4 |
|
Full name: |
WD repeat domain 4 |
|
Synonyms: |
TRM82; TRMT82 |
|
SwissProt: |
P57081 |
|
ELISA Recommended dilution: |
5000-10000 |
|
IHC positive control: |
Human esophagus cancer |
|
IHC Recommend dilution: |
50-100 |
|
WB Predicted band size: |
45 kDa |
|
WB Positive control: |
TM4 cell lysate |
|
WB Recommended dilution: |
500-2000 |
