手機掃碼訪問本站
微信咨詢
|
Background: |
Tubulin is the major constituent of microtubules. It binds two moles of GTP, one at an exchangeable site on the beta chain and one at a non-exchangeable site on the alpha chain. |
|
Applications: |
WB, IHC |
|
Name of antibody: |
TUBB |
|
Immunogen: |
Fusion protein of human TUBB |
|
Full name: |
Tubulin beta chain |
|
Synonyms: |
TUBB5 |
|
SwissProt: |
P07437 |
|
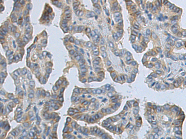
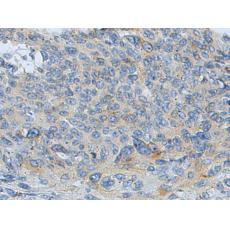
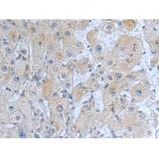
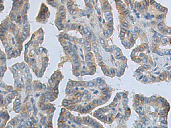
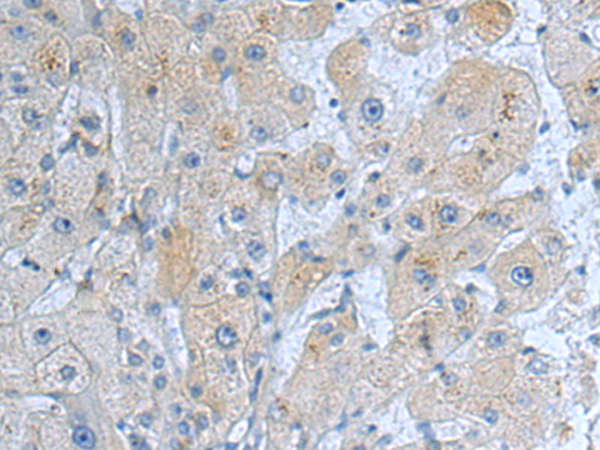
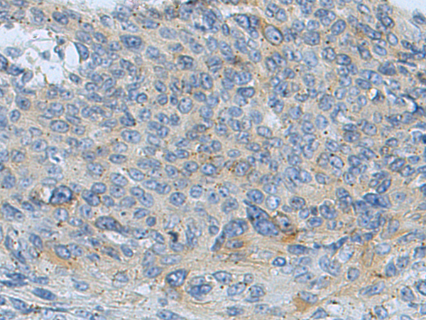
IHC positive control: |
Human thyroid cancer and Human liver cancer; Human cervical cancer |
|
IHC Recommend dilution: |
100-500 |
|
WB Predicted band size: |
50 kDa |
|
WB Positive control: |
Mouse brain tissue, Rat brain tissue, Human cerebrum tissue, Human cerebella tissue lysates |
|
WB Recommended dilution: |
1000-5000 |

