手機掃碼訪問本站
微信咨詢
技術規格
|
Background: |
This gene encodes a member of the glyceraldehyde-3-phosphate dehydrogenase protein family. The encoded protein has been identified as a moonlighting protein based on its ability to perform mechanistically distinct functions. The product of this gene catalyzes an important energy-yielding step in carbohydrate metabolism, the reversible oxidative phosphorylation of glyceraldehyde-3-phosphate in the presence of inorganic phosphate and nicotinamide adenine dinucleotide (NAD). The encoded protein has additionally been identified to have uracil DNA glycosylase activity in the nucleus. Also, this protein contains a peptide that has antimicrobial activity against E. coli, P. aeruginosa, and C. albicans. Studies of a similar protein in mouse have assigned a variety of additional functions including nitrosylation of nuclear proteins, the regulation of mRNA stability, and acting as a transferrin receptor on the cell surface of macrophage. Many pseudogenes similar to this locus are present in the human genome. Alternative splicing results in multiple transcript variants. |
|
Applications: |
ELISA, WB, IHC |
|
Name of antibody: |
GAPDH |
|
Immunogen: |
Fusion protein of human GAPDH |
|
Full name: |
glyceraldehyde-3-phosphate dehydrogenase |
|
Synonyms: |
G3PD; GAPD; HEL-S-162eP |
|
SwissProt: |
P04406 |
|
ELISA Recommended dilution: |
5000-10000 |
|
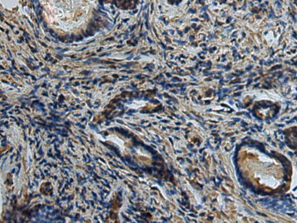
IHC positive control: |
Human prostate cancer |
|
IHC Recommend dilution: |
50-200 |
|
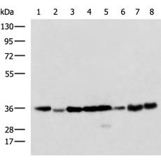
WB Predicted band size: |
36 kDa |
|
WB Positive control: |
Hela cell, Mouse brain tissue, 231, Jurkat, Raji, 293T, A375 and HUVEC cell lysates |
|
WB Recommended dilution: |
2000-10000 |

