手機掃碼訪問本站
微信咨詢
技術規格
Background:
This gene encodes a GTPase that belongs to the GTP-binding elongation factor family. The encoded protein is a polypeptide release factor that complexes with eukaryotic peptide chain release factor 1 to mediate translation termination. This protein may also be involved in mRNA stability.
Applications:
ELISA, WB, IHC
Name of antibody:
GSPT2
Immunogen:
Fusion protein of human GSPT2
Full name:
G1 to S phase transition 2
Synonyms:
GST2; ERF3B
SwissProt:
Q8IYD1
ELISA Recommended dilution:
5000-10000
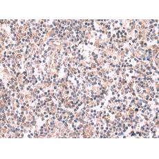
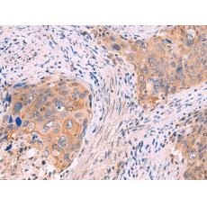
IHC positive control:
Human cervical cancer and Human tonsil
IHC Recommend dilution:
40-200
WB Predicted band size:
69 kDa
WB Positive control:
PC3 cell lysate
WB Recommended dilution:
500-2000

