手機掃碼訪問本站
微信咨詢
英文名稱: Anti-NUB1 rabbit polyclonal antibody
相關類別: 一抗
儲 存: 冷凍(-20℃) 避光
抗 原: NUB1
宿 主: Rabbit
反應種屬: Human
標 記 物: Unconjugate
克隆類型: rabbit polyclonal
技術規格
|
Background: |
This gene encodes a protein that functions as a negative regulator of NEDD8, a ubiquitin-like protein that conjugates with cullin family members in order to regulate vital biological events. The protein encoded by this gene regulates the NEDD8 conjugation system post-transcriptionally by recruiting NEDD8 and its conjugates to the proteasome for degradation. |
|
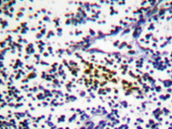
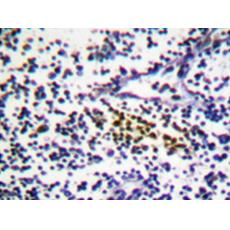
Applications: |
WB, IHC |
|
Name of antibody: |
NUB1 |
|
Immunogen: |
Synthesized peptide derived from C-terminal of human NYREN18. |
|
Full name: |
negative regulator of ubiquitin-like proteins 1 |
|
Synonyms: |
BS4; NUB1L; NYREN18 |
|
SwissProt: |
Q9Y5A7 |
|
IHC positive control: |
Human tonsil tissue |
|
IHC Recommend dilution: |
50-100 |
|
WB Predicted band size: |
71 kDa |
|
WB Positive control: |
COS7 cells lysate |
|
WB Recommended dilution: |
500-3000 |

