手機掃碼訪問本站
微信咨詢
|
Background: |
May be involved in transcriptional regulation. |
|
Applications: |
ELISA, WB, IHC |
|
Name of antibody: |
ZBTB8A |
|
Immunogen: |
Fusion protein of human ZBTB8A |
|
Full name: |
zinc finger and BTB domain containing 8A |
|
Synonyms: |
BOZF1; ZBTB8; ZNF916A |
|
SwissProt: |
Q96BR9 |
|
ELISA Recommended dilution: |
5000-10000 |
|
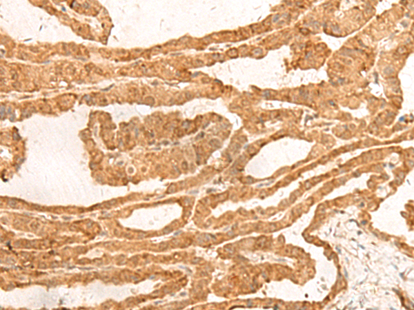
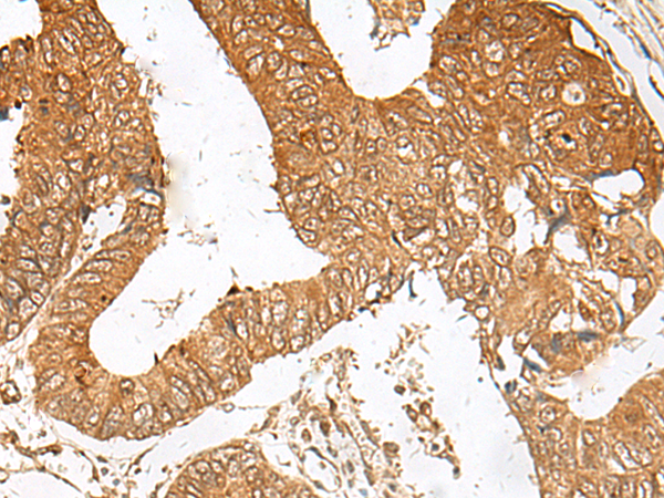
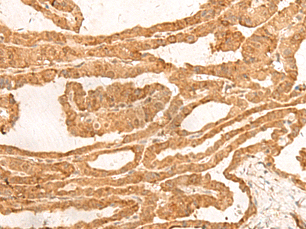
IHC positive control: |
Human cervical cancer and Human thyroid cancer |
|
IHC Recommend dilution: |
50-300 |
|
WB Predicted band size: |
50 kDa |
|
WB Positive control: |
293T cell lysate |
|
WB Recommended dilution: |
500-2000 |

