手機掃碼訪問本站
微信咨詢
|
Background: |
This gene encodes a member of the WAP-type four-disulfide core (WFDC) domain family. The WFDC domain, or WAP signature motif, contains eight cysteines forming four disulfide bonds at the core of the protein, and functions as a protease inhibitor. Most WFDC gene members are localized to chromosome 20q12-q13 in two clusters: centromeric and telomeric. This gene belongs to the centromeric cluster. |
|
Applications: |
ELISA, IHC |
|
Name of antibody: |
WFDC12 |
|
Immunogen: |
Synthetic peptide of human WFDC12 |
|
Full name: |
WAP four-disulfide core domain 12 |
|
Synonyms: |
WAP2; SWAM2; C20orf122; dJ211D12.4 |
|
SwissProt: |
Q8WWY7 |
|
ELISA Recommended dilution: |
5000-10000 |
|
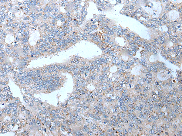
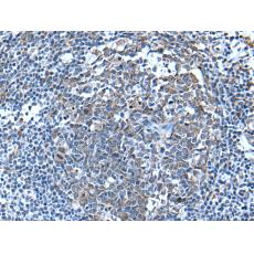
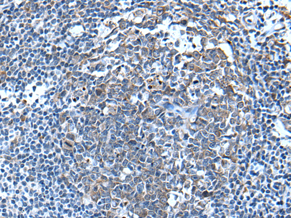
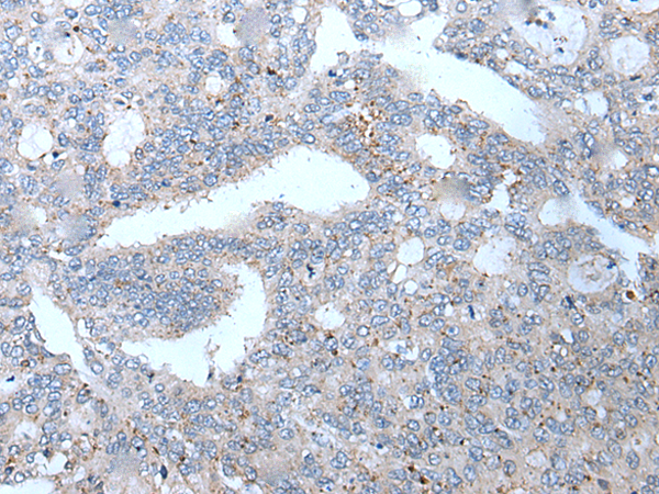
IHC positive control: |
Human colorectal cancer and human tonsil |
|
IHC Recommend dilution: |
20-100 |

